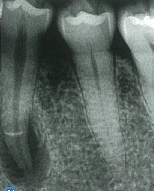
치아가 감염된 지 오래된 경우 방사선 사진에서 치근단 병소가 발견됩니다. 방사선 사진 상 병소의 크기가 작으면 당연히 신경치료를 진행하겠지만, 병소의 크기가 크다면 수술 혹은 발치 가능성까지 생각하게 됩니다. 이럴 때 신경치료라는 방법을 선택하게 된다면 어떤 방식으로 진행해야 할지에 대한 고민이 들기 시작합니다. 이런 경우에 사용할 수 있는 것이 chlorohexidine과 calcium hydroxide입니다.

오래된 감염 근관의 판단
감염이 오래된 경우 치근단 병소의 크기가 커집니다. 또한 pus가 나오거나, 누공(fistula)이 생기거나, 좋지 않은 냄새가 나곤 합니다. 이 외에도 만성 염증과 급성 염증의 경우 박테리아의 구성이 다르다는 것이 중요합니다. 따라서 오래된 감염 근관을 치료할 때는 기존의 근관 세척 방법에 추가적 단계가 필요합니다.
또한 치료를 통해 박테리아가 줄어들었다는 것을 판단할 만한 기준도 필요합니다. 우리는 앞서 pus가 나오거나, 누공이 생기거나, 좋지 않은 냄새가 나는 경우를 오래된 감염 근관이라고 판단했습니다. 그렇기에 이 조건들을 박테리아가 줄어들었다는 판단의 기준으로 삼을 수 있습니다. 첫째, pus(삼출물)가 멈춘 상태 거나 역류하지 않아서 근관이 건조된 상태로 잠깐이라도 유지되어야 합니다. 둘째, 누공이 없어진 상태 거나 없어지는 과정이어야 합니다. 셋째, 근관을 건조 시 paper point를 적용하고 그 냄새를 맡았을 때 나쁜 냄새가 나지 않아야 합니다. 여전히 냄새가 나고 있다면 아직은 감염된 상태로 볼 수 있습니다.
chlorohexidine, calcium hydroxide의 역할
앞서 언급했듯이 기존의 치료 방식에 추가적으로 사용할 수 있는 약제가 바로 chlorohexidine과 calcium hydroxide입니다. 먼저 chlorohexidine의 역할은 다음과 같습니다. chlorohexidine은 Gram(+) 박테리아에 효과적인 약제입니다. 따라서 재근관 치료 시에 사용할 수 있습니다. 또한 알레르기 반응이 적습니다. calcium hydroxide는 항박테리아 효과가 길고 강력한 편입니다. 그래서 근관의 재감염을 막아주는 효과가 있습니다. 그렇기 때문에 내원 사이사이 근관에 넣어주는 방법으로 사용합니다.
임상에서 자주 사용되는 calcium hydroxide 제품으로는 calcipex가 있습니다. 이외에도 유사한 제품들이 아주 많고, 수용성 제품을 선택한다면 제품별로 그 효과는 크게 차이가 나지 않습니다. 분말 형태의 calcium hydroxide를 증류수와 섞어서 사용하는 분들도 많은 것으로 알고 있습니다. 다만 이런 경우 제품을 사용하는 것보다는 단계가 복잡해지기 때문에 저는 완제품을 사용했습니다. 저도 임상에서 치근단 병소가 있는 경우라면 다음 내원 시까지 calcipex는 꼭 사용했던 기억이 납니다.
chlorohexidine과 calcium hydroxide 이 두 가지 약제는 NaOCl만으로는 해결하지 못하는 박테리아의 숫자를 효과적으로 줄이는 데 사용됩니다. 또한 이 두 약제를 적용하는 방법이 비교적 어렵지 않습니다. 따라서 이 단계들을 추가적으로 시행하여 치료의 성공률을 높일 수 있습니다.
오래된 감염 근관의 근관 세척 순서
그럼 위에서 언급한 chlorohexidine과 calcium hydroxide가 추가된 근관 소독 순서를 알아보겠습니다. 먼저 NaOCl을 사용하여 10분 정도 소독을 거칩니다. 이후 saline으로 irrigation을 충분히 하고, paper point로 근관을 완전히 건조합니다. 다음으로 chlorohexidine을 적용하여 10분 동안 소독합니다. 이번에는 saline의 적용을 하지 않습니다. 그리고 다시 paper point로 근관을 완전히 건조합니다. 이후에 근관 내부에 빈틈이 없도록 calcium hydroxide를 적용합니다. 약제를 근관 내부에 넣어두었으니 다음 내원 시까지 최소 일주일 정도의 간격을 둡니다.
두 번째 내원 시 우선 근관 내부의 calcium hydroxide를 제거합니다. 이후 NaOCl을 사용하여 10분 정도 소독을 합니다. 이번에도 saline을 사용하여 충분히 세척하고 paper point로 근관 내부를 건조합니다. 이후 다시 chlorohexidine으로 10분 정도 소독합니다. 이 과정을 거친 후 근관이 충분히 깨끗해진 것 같다면 근관 충전 단계를 시행해도 됩니다. 그러나 여전히 박테리아가 많은 상태라고 판단하면 다시 calcium hydroxide를 적용하고 위의 과정을 반복합니다.
'dentistry' 카테고리의 다른 글
| 근관충전이 짧게 되는 이유와 해결방법 (0) | 2022.07.25 | 
|---|---|
| 신경치료를 언제 마무리 해야할까에 대한 고민 (0) | 2022.07.24 | 
| 근관 세척 시 NaOCl의 역할과 사용 조건 (0) | 2022.07.22 | 
| ledge 예방법과 형성 시 해결방법 (0) | 2022.07.18 | 
| Ni-Ti file 사용순서의 두 가지 예시 (0) | 2022.07.17 | 
 
														
													 
														
													 
														
													 
														
													
댓글